Tag: salute
Ricerca: sclerosi multipla, nuove strategie per trattarla potenziando il sistema immunitario
(Adnkronos) - La sclerosi multipla è una patologia che in Italia colpisce circa 144mila persone, secondo i dati dell'Aism (Associazione italiana sclerosi multipla). Grazie...
Tumori: prostata, ‘in Lombardia e Basilicata primi progetti di screening, ora...
(Adnkronos) - Con 40.192 nuove diagnosi in Italia nel 2024, il cancro alla prostata è il tumore più frequente nella popolazione maschile. In assenza...
Tumori: cancro collo utero, tecnica innovativa per diagnosi precoce
(Adnkronos) - Uno studio pilota multidisciplinare coordinato dall'università Sapienza di Roma ha sperimentato una tecnica innovativa per l'esame di una particolare tipologia di cellule...
Malattie rare: craniosinostosi, verso cura non invasiva con silenziatore genico e...
(Adnkronos) - Un 'silenziatore genico' (tecnicamente detto piccolo Rna interferente - siRna) veicolato localmente da nanoparticelle introdotte in un gel iniettabile prodotto tramite stampa...
Medicina: emicrania pediatrica, un anticorpo monoclonale dimezza gli attacchi
(Adnkronos) - L’Irccs San Raffaele di Roma è protagonista di una svolta storica nella cura dell’emicrania pediatrica. Lo studio internazionale SPACE su fremanezumab (Fremanezumab...
Un Dna antico di 5.500 anni fa riscrive le origini della...
(Adnkronos) - Gli scienziati lo hanno recuperato da antichi resti umani in un riparo roccioso vicino a Bogotà, in Colombia, risalenti a 5.500 anni...
Giornata scrittura a mano, neurologo ‘rinunciare impoverisce linguaggio e cervello’
(Adnkronos) - La scrittura a mano non è solo uno strumento di comunicazione, ma una vera e propria "forma di espressione del pensiero". "Rinunciare...
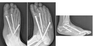
Piede di Charcot, al Gemelli soluzioni avanzate per una complicanza rara...
(Adnkronos) - Uno dei più temibili nemici del piede è una grave e rara complicanza del diabete, un capitolo del cosiddetto piede diabetico, con...
Trapianti, papà dona 2 organi alla figlia. L’ansia e poi la...
(Adnkronos) - "Posso tenerla in braccio?". Arrivato in reparto dopo aver donato due organi in simultanea alla figlia Sofija (nome di fantasia), 7 anni,...
‘L’ultimo turno’, in Consiglio regionale Lazio film racconta lavoro infermieri
(Adnkronos) - Oggi al Consiglio regionale del Lazio è stato proiettato il film 'L'ultimo turno', alla presenza del presidente della Regione Francesco Rocca, del...







































