Tag: ultimora
Fontana di Trevi, dal Giubileo ingresso contingentato: non è escluso un...
(Adnkronos) -
Fontana di Trevi a numero chiuso dal Giubileo e non è escluso il pagamento di un ticket. Ad annunciarlo il sindaco di Roma,...
Al Pacino: “Sono quasi morto di covid, il cuore si è...
(Adnkronos) -
Al Pacino ha sfiorato la morte, se n'è 'andato' per qualche secondo. Poi, racconta, è tornato. Nel suo libro di memorie in...
Ora solare, quando torna e quali sono le conseguenze
(Adnkronos) - L'autunno è iniziato, le giornate sono più corte e sta arrivando il momento di lasciare l'ora legale e tornare a quella solare....
Inchiesta curve, pm di Milano Paolo Storari sotto scorta
(Adnkronos) - Paolo Storari, pm della Dda di Milano e uno dei titolari dell'inchiesta che ha permesso di azzerare i vertici delle curve milanesi,...
A Messina e Catania roadshow per il ‘Premio Young Talents Italia-L’Oréal-Unesco...
(Adnkronos) - Parte dall'Università di Messina - domani farà tappa all'Università di Catania - il roadshow pensato per raccontare il Premio 'Youngs Talents Italia-L’Oréal-Unesco...
Rigopiano, Valsecchi contro Trincia: “Mi ha sottratto progetto podcast e docuserie”
(Adnkronos) - Scoppia la polemica attorno al podcast e alla docu-serie 'E poi il silenzio - Il disastro di Rigopiano' prodotti da Chora Media...
Femminicidio nel barese, uomo uccide a mani nude la moglie dopo...
(Adnkronos) - Ennesimo femminicidio oggi nel barese, dove un uomo ha ucciso a mani nude la moglie dopo aver tentato di darle fuoco. E'...
Berrettini e la mascotte di Shanghai, dialogo complicato – Video
(Adnkronos) - Matteo Berrettini e la mascotte, un rapporto complicato. Prima del match con il danese Holger Rune, nel secondo turno dell'Atp Masters 1000...
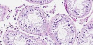
Nobel Medicina, il premio ai microRna: evidenziatori nel manuale d’istruzioni delle...
(Adnkronos) - In ogni cellula del corpo umano c'è un 'kit' completo e universale: lo stesso set di geni, lo stesso set di istruzioni....
Ora è ufficiale: squalifica Pogba ridotta da 4 anni a 18...
(Adnkronos) - Ora è ufficiale: la squalifica di Paul Pogba è stata ridotta dal Tas da 4 anni a 18 mesi. Lo ha annunciato...











































